
Cosmetic Dentistry
We want you to make an informed decision before moving forward with your dentistry treatment plan. Read on to learn why you should choose our cosmetic dentist at Garden City Smiles to enhance your smile.
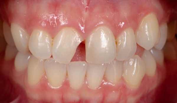
We Consistently Achieve Beautiful Results Porcelain Veneer Before and After Photos

Preview Your Smile Before You Undergo Treatment
We use the PreNew PreView tool, which was created by master ceramicist Jason J. Kim. This tool enables dentists to show patients what their smile will look like before they commit to treatment. The process involves Dr. Buono taking photos and impressions of your teeth. These are sent to the Jason J. Kim Dental Aesthetics lab, where a smile mockup is created. The mockup can actually be placed over the patient's teeth during an appointment at our practice so they can preview their results in real life instead of relying on digitally manipulated images.
Contact our practice to ask a question about this cosmetic dentistry innovation or request a consultation. You can also reach us by phone:
"Love My Smile!" Long Island Patients Are Happy They Visited
I tried many different dentists prior to making an appointment with Dr. Buono who was in the office next door to my prior job. I could not be more happy that I decided to make that appointment and highly recommend him and his staff to anyone looking for a dentist. This is a dentist you can trust. His staff are always friendly and upbeat - you will never leave his office disappointed.
View on GoogleDr. Buono is the best! His office and staff are amazing. Their attention to detail is like no other and they always make me feel comfortable. I have always been squeamish and hated the dentist until I started coming to this office. Dr. Bueno did my veneers 3 years ago and has been maintaining them ever since. They came out amazing and it’s the best decision I’ve ever made. Love my smile!
Read More Google ReviewsOur Cosmetic Dentistry Services
Porcelain Veneers
Porcelain veneers are ultra-thin ceramic pieces that can be placed over the teeth to give a dull or cosmetically flawed smile a powerful upgrade. Dentists use them to mask stains, cracks, or unevenness in the smile, and they can be used on multiple teeth. Dental veneers are intended solely as a cosmetic treatment, which is why they are only placed on the most visible teeth.
Laser Gum Contouring
During laser gum contouring, our dentist uses laser technology to gently remove small amounts of tissue when patients have excessive gum tissue or an uneven gum line.
To enhance your cosmetic dentistry results, we may also perform teeth whitening or place porcelain veneers.
Teeth Whitening
At Garden City Smiles, we offer whitening to patients with stained teeth. A bright, white smile can be the key to making a lasting impression, and we want to help our patients exude confidence. Our dentist offers Zoom!® teeth whitening treatments to help patients brighten their smile in one easy office visit.
Dental Bonding
Dental bonding is a cosmetic dentistry procedure that involves placing a composite resin onto the teeth to achieve an effect similar to what veneers provide. Bonding can be used to hide chips, cracks, or discoloration, and is a good cosmetic option for use on the front teeth. Dr. Buono is a skilled cosmetic dentist who can shape and color the bonding material to blend seamlessly with all your teeth.
White Fillings
Tooth-colored fillings blend with your teeth and are virtually unnoticeable.
Whether you have old silver fillings that need to be replaced or a new cavity, our dentist can place white fillings at our Long Island practice to provide both practical and cosmetic benefits.
Clear Aligners
Although nearly everyone wants a straight smile, some are reluctant to undergo orthodontic treatment because of a concern that the metal brackets of traditional braces will cause pain or embarrassment. Our dentist offers Invisalign® and ClearCorrect™, which use a series of clear removable aligners to help patients achieve an attractive smile. This orthodontic treatment can straighten your teeth, but without the discomfort, frequent dental appointments, or food restrictions associated with braces.
Millions of Patients Trust Invisalign
It's never too late to subtly straighten your teeth. Invisalign is made for both teenagers and adults, allowing you to follow your own dental treatment timeline. The brand earned FDA approval in 1998 — and since then, more than 17 million patients have used clear aligners to achieve stunning smiles.
Start Your Cosmetic Treatment With a Free Consultation
A new smile is something worth celebrating. Our dental team makes this exciting step even easier with free consultations for first-time patients.
During this consultation, Dr. Buono will listen to your goals and concerns. He'll also give you a kind but transparent answer about your options. We don't perform cosmetic treatments unless they're safe for our patients, so you can trust us to put you first.
From teeth whitening to Invisalign, you have so many options to explore. Learn more about your candidacy by contacting our Long Island team. You can also call us at:
(516) 294-0375

You've Got Nothing to Lose
Get Ready for Your Appointment
You can get ready for your appointment before you even leave the house. Simply print our new patient forms, fill them out, and bring them to our Garden City, NY, dental office when it's time for your visit.
Long Island Patients Trust Our Dentist
Dr. Buono and staff are excellent. GCS have fixed a few of my dental issues this past year and my expectations have been exceeded. I highly recommend to anyone looking for quality dentistry at a fair price.
View on GoogleDr, Buono is a compassionate professional. He explains everything toughly and let's you know what to expect before he does any work. He is top notch in his field & I would highly recommend him. Thanks Louis!
View on GoogleVeneer Placement in Action
Minimal-Prep Veneer Alternatives At Our Long Island Practice

Lumineers
Though traditional veneers mean permanent alteration to the tooth, this isn't the case for Lumineers. These ultra-thin veneers do not require enamel removal; instead, they can be placed directly onto the teeth.

Snap-On Smile
Snap-On Smile is a custom-made appliance that slides on and off of your teeth as you choose, and can even be worn when eating and drinking. This removable option can be used for both children and adults.
Laser Gum Contouring Gives Your Veneers a Beautiful Final Touch
When it comes to cosmetic dental work, patients usually focus on the teeth. However, your gums can actually make a big difference in your overall appearance.
Uneven gums can make your teeth look misshapen, while excess gum tissue can give you an overall gummy smile. With laser gum contouring, Dr. Buono can safely refine your natural gum line.
He can even use this dental treatment before cosmetic work, like veneers, to craft a more uniform smile. Afterwards, your veneers will look even more natural because the gums will be positioned properly.
Dr. Buono Has Treated Long Island For Over 30 Years
/
Patients from all over Long Island have visited our dentist for cosmetic, restorative, and general dentistry. Like them, you can trust Dr. Buono with your smile.
Choose a Dentist With Extensive Training
It's your smile — of course you want peace of mind. If you've spent months or years wishing you could refine your teeth, you've likely experienced your fair share of anxiety.
Our dentist understands this completely. That's why he pairs his caring demeanor with extensive cosmetic training. For instance, he learned about his craft at the Dawson Center for Advanced Dental Study.
Dr. Buono also studied at the Aesthetic Advantage Program, honing his skills with instruction from a famous cosmetic dentist. Finally, Dr. Buono likes to pass his knowledge on to you, so you can feel confident in your care.
If you're ready to learn about your options, contact our Long Island practice. Or, give us a call at
(516) 294-0375

Benefit From Dr. Buono's Training
A Long Island Office Focused on Excellent Customer Service
My first visit Dr.Buono and staff were professional, courteous and informative. All questions concerning fees and procedures were answered without hesitation.
Read More Google ReviewsI've been a patient of Dr. Buono for the past year. He did difficult crown/implant work for me, and I could not have been happier with the result. His office staff is very amicable and accommodating as well.
Read More Google Reviews
Restorative Dentistry Is Also Available
Dr. Buono's first priority will be to save your natural tooth. Sometimes, though, that course of treatment may no longer be possible. However, there are still options to give you a beautiful and healthy smile.
So, what happens next? If you've lost a tooth or need one extracted, then you need restorative treatment, as opposed to cosmetic treatment. This can involve a combination of dental implants and restorations, or it may involve attaching a restoration to your natural teeth.
Because our dentist is qualified to practice both restorative and cosmetic dentistry, you can trust him to carry out every step of your treatment, no matter your needs.
General and Restorative Dentistry Services Used for Healthy Smiles
If your dental concerns are more practical than aesthetic, you may need a different course of treatment. Dr. Buono can restore the health and functionality of your smile with options like:
- Dental Bridges
- Dental Crowns
- Dental Implant Restorations
- Dentures
- Inlays and Onlays
- Gum Disease Therapy
Cosmetic Dentistry FAQs
Are cosmetic treatments covered by dental insurance?
No, dental insurance doesn't cover cosmetic treatments. It's used only for necessary procedures.
Still, we can help ease the cost of treatment with a free consultation.
What happens if my mouth isn't healthy enough for treatment?
Cavities and gum disease are common dental problems. We're not here to judge — we're here to help. Our dentist offers cleanings, fillings, and periodontal treatment. In more advanced cases, Dr. Buono may need to place a traditional crown or a restoration supported by a dental implant. Once your mouth is healthy again, we can explore cosmetic dentistry.
What can I do if I want to explore multiple procedures?
Talk to Dr. Buono! Our dentist can create a custom plan designed to achieve your unique smile goals, often combining multiple treatments per appointment so you need fewer visits to create your dream smile. Of course, Dr. Buono will only combine procedures if it's safe for you.
Why Dr. Bruono Is the Right Choice For Your Cosmetic Dentist
"I highly recommend Dr. Buono!! He is an incredible dentist, very knowledgeable, professional, kind, and truly cares about his patients. An all around great person! His office is always immaculate...His office staff is wonderful and always so helpful before, during, and after a visit. Choose Dr. Buono at Garden City Smiles for all your dental needs! You will not be disappointed!" Kristin Basso













